Il Laboratorio Odonto M è specializzato nella realizzazione di protesi dentali di vario tipo: fisse, mobili e combinate. Ogni protesi viene personalizzata in base alle specifiche esigenze del paziente, grazie all'utilizzo di tecniche e materiali di alta qualità.
Protesi fisse
Il Laboratorio Odonto M si dedica alla realizzazione di protesi fisse, tra cui corone in zirconio integrale o zirconio ceramica, ponti su denti naturali o su impianti, maryland bridge, faccette e intarsi su denti naturali. Il nostro approccio professionale e rigoroso ci consente di creare protesi dentali di alta qualità che migliorano non solo la funzionalità ma anche l'estetica del sorriso. Grazie alla nostra esperienza e alla conoscenza dei materiali più innovativi del settore, siamo in grado di soddisfare le esigenze dei nostri clienti e di garantire loro un servizio affidabile e su misura.
Protesi mobili
Il laboratorio Odonto M offre un servizio specializzato nella produzione di protesi mobili, che includono protesi totali, parziali e scheletriche. Inoltre, il Laboratorio produce anche protesi in nylon, una soluzione ideale per i pazienti che preferiscono una protesi leggera e confortevole. Grazie alla competenza e alla professionalità del personale, il Laboratorio è in grado di fornire ai propri clienti prodotti di alta qualità.
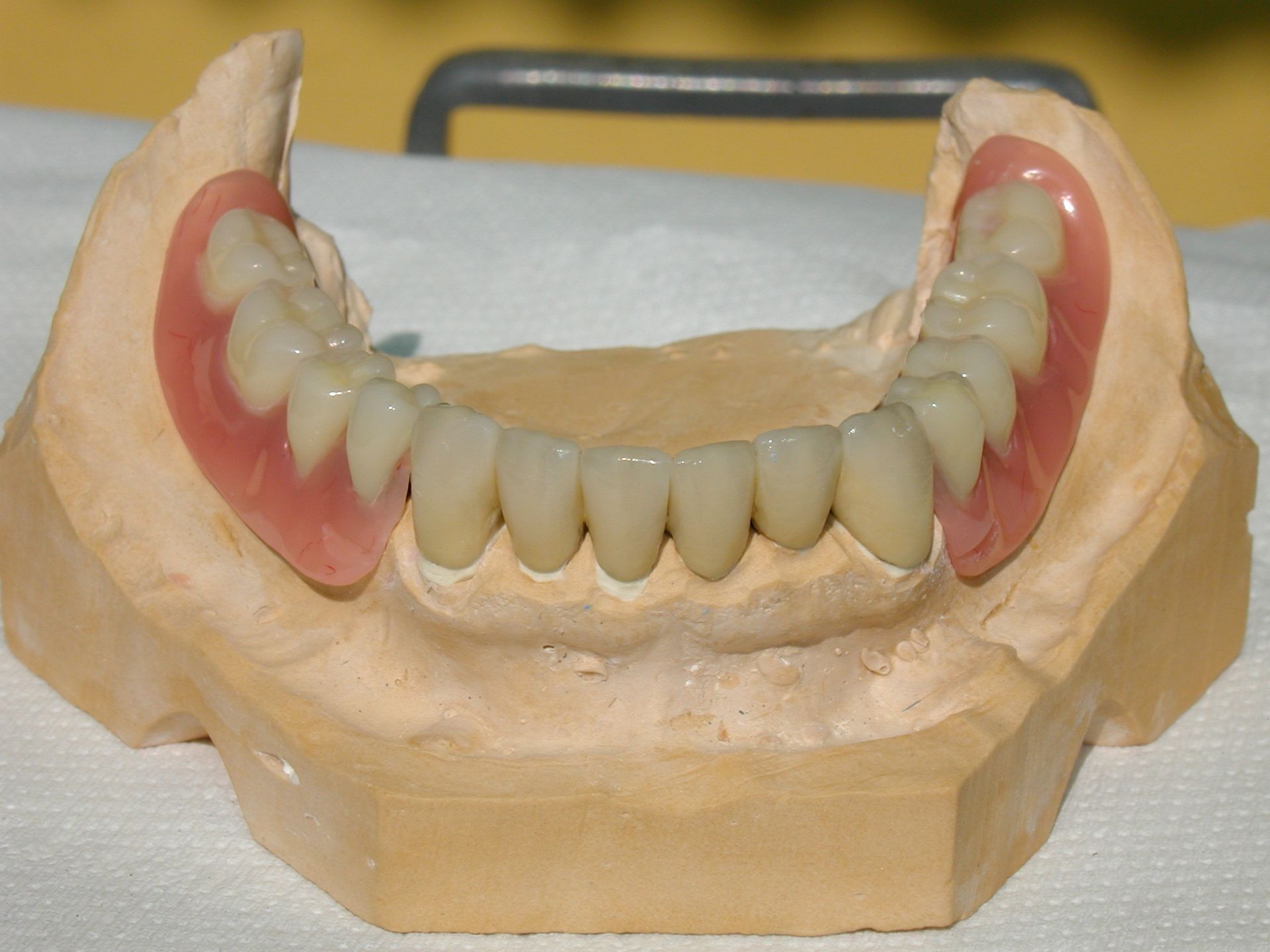
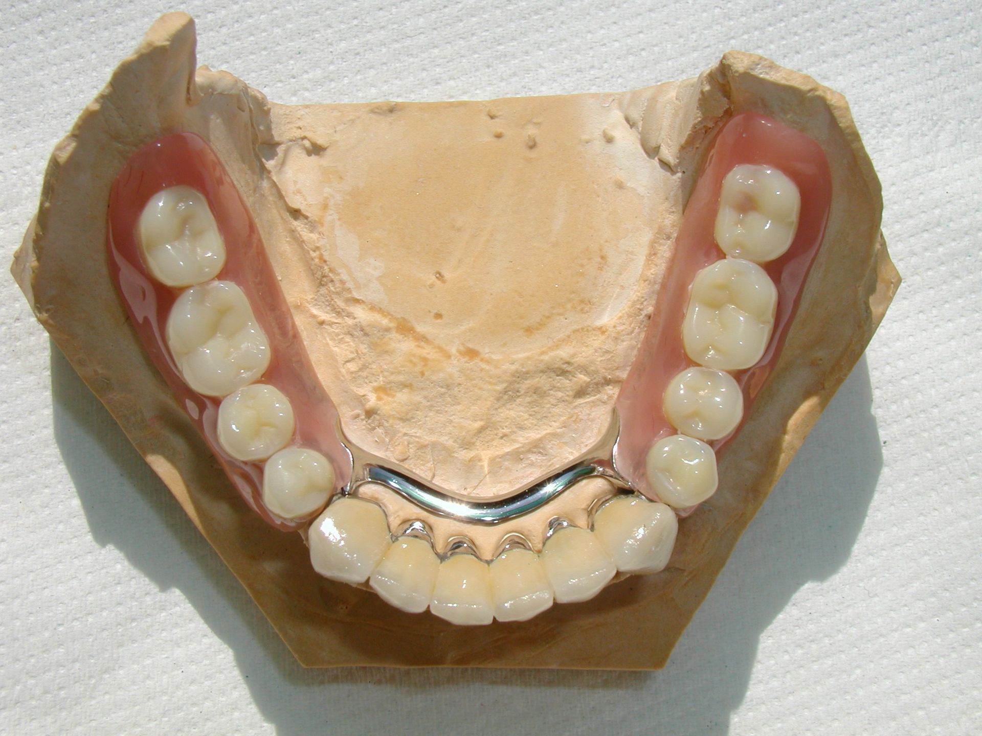
Protesi combinate
Il Laboratorio è specializzato nella produzione di protesi combinate, un particolare tipo di protesi dentaria che unisce elementi provenienti sia dalla protesi fissa che da quella rimovibile. Solitamente, la parte fissa fornisce il supporto necessario attraverso corone, ponti e supporti implantari, mentre quella mobile interviene sulla sostituzione dei denti sfruttando anche il supporto mucoso, come nel caso di Overdenture su impianti con attacchi.
Compila il form e allega una foto per permettere allo specialista di individuare la cura dentale più adatta alle tue esigenze





































